卵巢囊肿是妇科中最常见的问题之一。不少女性平时也没什么不舒服,只是在常规的妇科B超检查时偶然才发现 了“卵巢囊肿”的踪迹。
原本看到“囊肿”两个字已经够慌了,结果自己网上一查,更是晕乎害怕——有说没事的,有说会癌变的,还有说 会不孕不育的!
卵巢囊肿究竟是怎么回事?这就要从它的“戏精”本性说起。今天,我们就用“高清”妇科超声来好好揭秘这个“戏 精本精”。
卵巢囊肿的“戏精本色”
“戏精”卵巢囊肿的种类繁多,在妇科超声下它实际是一种卵巢内部或表面形成的囊状结构,统称为“卵巢囊肿” ,但这种影像上的改变并非一定与肿瘤相关,并不能马上称之为一种“疾病”,其实质“千变万化”。

简单来说,它可以分为生理性和病理性囊肿两大类,再细分的话,生理性囊肿比较多见的有卵泡囊肿和黄体囊 肿,病理性囊肿常见的有畸胎瘤、囊腺瘤和子宫内膜异位囊肿以及交界性肿瘤、恶性卵巢癌。
卵巢囊肿,到底是良是恶?
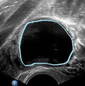
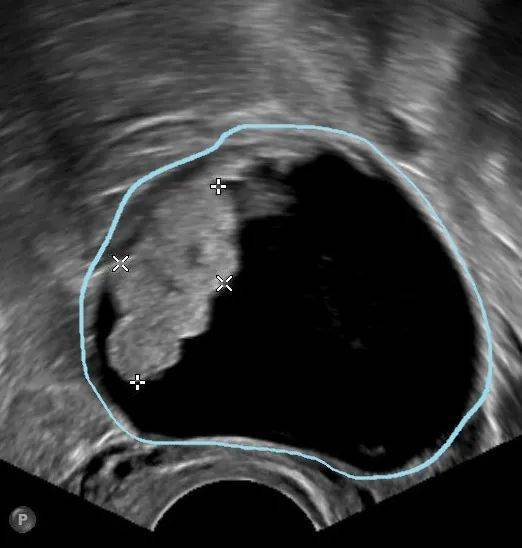
正如上文所说,由于B超下发现的毕竟只是一个影像,所以很多时候并不能判断囊肿的性质,还需要进一步随访 或检查才能判断。国际卵巢肿瘤分析组织(IOTA)将卵巢肿瘤的超声描述方法标准化,在以下识别卵巢肿瘤良恶性 的10个简单特征中,若卵巢肿瘤含有至少一个恶性肿瘤特征(M特征)而没有良性肿瘤特征(B 特征),则卵巢肿 瘤被分类为恶性肿瘤。

在超声检查的同时,还可以检查肿瘤标志物。当对囊肿的性质做了初步判断后,我们便可以对号入座看看如何 处理。若提示有癌变风险,一般建议手术治疗。而良性囊肿处理方法则各不相同。
1、卵泡囊肿

当女性内分泌功能紊乱时,卵泡会发育不成熟,或成熟后不排卵,所以青春期少女和围绝经期女性容易出现卵 泡囊肿。并且,由于卵泡持续分泌雌激素,还可能引发子宫内膜增生过长、阴道不规则流血等。
这种情况一般可以观察2~3个月,在月经的第5~7天复查一下超声,有些卵泡囊肿可以超过5cm,持续存在数月 ,如果囊肿自行消退就无需治疗。
2、黄体囊肿

黄体囊肿多发生于月经周期的后段(第14~28天),由于这种囊肿会持续分泌孕激素,可能导致月经推迟。
一般来说黄体囊肿会自行消退。但极少数会发生破裂,引发下腹疼痛和盆腔内出血,此时需要及时就医,根据 严重程度来决定保守治疗或手术治疗。
3、卵巢畸胎瘤

卵巢畸胎瘤的病因和发病机制至今不明,并且往往没有明显的临床症状。95%以上为良性的成熟性畸胎瘤,超声 图像具有特征性,诊断比较明确,以手术切除为主。
4、卵巢囊腺瘤

卵巢囊腺瘤的发生、发展机制不明确,绝大多数属于良性病变,早期往往没有明显的临床症状,晚期可出现腹 胀,腹部肿块和腹腔积液。
5、卵巢子宫内膜异位囊肿

卵巢子宫内膜异位囊肿的发生可能与经血逆流、淋巴及静脉扩散等因素相关。它主要会引发痛经、月经失调等 症状,血清CA125水平常轻度升高。随着病情进展,还可能出现不孕、囊肿破裂等并发症,且有恶变的可能。虽然 可以通过药物减缓其生长速度,但是最终仍可能需要进行手术治疗。
卵巢囊肿的破坏力
虽然卵巢囊肿是良性的妇科肿瘤,但不代表它“不厉害”,相反,有时候它的破坏力还是很惊人的。
1、卵巢囊肿破裂
若卵巢肿瘤生长过快,或腹部受重击、分娩、性交等因素影响,可能会造成卵巢囊肿破裂。此时将出现腹痛, 若不及时治疗则会腹腔大出血甚至休克。
2、蒂扭转
好发于蒂长、中等大、活动度良好、重心偏于一侧的卵巢囊肿。常在患者突然改变体位或妊娠期子宫位置发生 改变时发生。症状为突发一侧下腹部剧烈疼痛,伴有恶性、呕吐甚至休克。
3、恶变
卵巢囊肿也有一定的恶变概率,麻烦的是哪怕恶变,在早期一般也没有明显症状,不易被发现。如果卵巢肿瘤 生长迅速,超声IOTA指标或肿瘤标志物高度提示恶性可能,应尽早手术。
由于“戏精”卵巢囊肿善于隐匿和伪装,女性朋友务必定期体检,做到早发现,早治疗。

